Микоплазмена пневмония
Епидемиология
Микоплазмените инфекции се разпространяват по въздушно-капков път и се срещат най-често при ученици и студенти, живеещи в общежитие, войници и вътре във фамилията. Инфекцията е разпространена по цял свят и през цялата година, като зачестява в началото на зимата.
Етиология и патогенеза
Причинява се от Mycoplasma pneumoniae, или агент на Итън, който се отнася към т.нар. РРО микроорганизми. Причинителят няма ригидна клетъчна стена. Той предизвиква хемолиза в овнешки еритроцити и неговият растеж се потиска от тетрацикпини и макролиди. Микоплазмата произвежда екзитоксин (хемолизин), който обуславя образуването на студови антитела.
Клинична картина и диагноза
Инфекцията с Mycoplasma pneumoniae може да протече като фарингит, трахеобронхит или пневмония (до 10 – 30%). Инкубационният период е 3 – 4 седмици. Началото е постепенно, с главоболие, фебрилитет, продължаващи от 1 до 5 дни, след което остава субфебрилна температура. Често се среща суха кашлица, рядко се наблюдава кръвохрачене. Установяват се болки по ставите и мускулите, изпотяване и болки в гърлото, хрема, отит.

При физикалното изследване се установяват незначителни патологични отклонения. Рядко се чуват сухи хрипове.
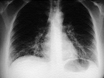
Рентгеновото изследване установява най-често сегментни или лобарни инфилтрати, което налага да се направи диференциална диагноза.
Характерен белег е наличието на хемолитична анемия със студови антитела.
Усложнения и прогноза
Протичането е най-често благоприятно, но са възможни усложнения – миокардити, перикардити, нефрити, миалгии, артрити, хемолитична анемия, тромбоцитопения, полиневрити, трансверзален миелит, менингоенцефалит. От страна на кожата се описва синдромът на Стивън – Джонсън, протичащ с кожни обриви – еритема мултиформе.
На вашето внимание
Състояния и заболявания
Консенсуси
- Рискови фактори:
- Симптоми и синдроми:
Покана
Ако сте медицински, здравен или сроден специалист и бихте желали да допринесете за подобряване качеството на тази публикация – да предложите свой собствен авторски текст, фотография или видео, или просто да ни посочите грешка от едно или друго естество, която може да сме допуснали при подготовката на материала, заповядайте!