Състояния и заболявания
Тропическа спру
На английски език: Tropical sprue
Съдържание
- Тропическа спру
- Етиология
- Клинична картина
- Диагноза
- Лечение
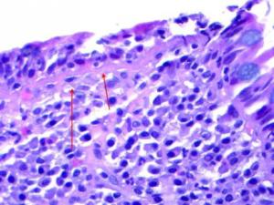
Диагноза
Тропическа спру трябва да се подозира при хора, пребивавали повече от 2 седмици в ендемичните райони.
Хистологичното изследване установява субтотална до тотална атрофия и нарастване на възпалителния инфилтрат в lamina propria на лигавицата. Атрофията е дифузна, като обхваща лигавицата от пилора до илеоцекалната клапа.
Автор(и): доц. д-р З. Спасова, Клиника по гастроентерология, МБАЛ „Св. Иван Рилски“ – София
Покана
Ако сте медицински, здравен или сроден специалист и бихте желали да допринесете за подобряване качеството на тази публикация – да предложите свой собствен авторски текст, фотография или видео, или просто да ни посочите грешка от едно или друго естество, която може да сме допуснали при подготовката на материала, заповядайте!

