Невроартропатия на Шарко (Charcot) (става на Charcot, артроза на Charcot, стъпало на Charcot, болест на Charcot, синдром на Charcot)
Съдържание
- Невроартропатия на Шарко (Charcot) (става на Charcot, артроза на Charcot, стъпало на Charcot, болест на Charcot, синдром на Charcot)
- Патогенеза
- Клинична картина
- Класификация
- Изследвания, диференциална диагноза, лечение и профилактика, усложнения
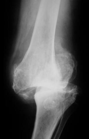
Изследвания
ПКК, СУЕ, кръвна глюкоза и HbA1С (за оценка на гликемичния контрол при диабетици), нива на алкална фосфатаза, калций, фосфор, паратиреоиден хормон, креатинин, серумно ниво на витамин В12, чернодробни ензими, рентгенография, КАТ, ЯМР, ултразвукова доплерова сонография, лумбална пункция (при показания), синовиална и костна биопсия (при необходимост), инфрачервена термография, течнокристална термография или термисторна термометрия и други.
Диференциална диагноза
Дълбока венозна тромбоза, ревматоиден артрит, инфекциозен остеоартрит, костен тумор, диабетна остеолиза, фрактура, подагра, идиопатичен едем, рефлексна симпатикова дистрофия, лимфедем, целулит, остеомиелит.
Лечение и профилактика
При пациентите с диабетна невропатия най-ефективни са превантивните програми, включващи обучение за всекидневен оглед на стъпалата, добра хигиена на краката, избор на подходящи обувки, съвети за избягване на микротравмите и своевременна педиатрична намеса. При остра артропатия на Charcot кракът се имобилизира (дори и при нормална рентгенография), а ако има улцерации, те се лекуват „по правилата на изкуството”. Няма специфично фармакологично лечение, но се препоръчва прилагането на бисфосфонати (мощни инхибитори на костната резорбция с минимален ефект върху костното образуване), които спират остеокластичната активност и стимулират заздравяването, намаляват локалното възпаление.
Инфузията с бисфосфоната pamidronate 90 mg задържа костната реорганизация и активност и спира развитието на артропатията при диабетни пациенти – показа двойно-сляпо плацебо контролирано рандомизирано проучване (Jude EB, Selby PL et al. Bisphosphonates in the treatment of Charcot neuroarthropathy: a double-blind randomised controlled trial. Diabetologia 2001, Vol 44; 11: 2032-37) . Друг вид лечение е с нискоинтензивен пулсов ултразвук, който стимулира образуването на кост и ускорява оздравяването и калусообразуването (Strauss E, Gonya G. Adjunct low intensity ultrasound in Charcot neuroarthropathy. Clin Orthop 1998,349:132-8). Електростимулацията и магнитното поле за стимулиране на костната формация подобряват възстановителния период. Невроартропатията в предната част на стъпалото се лекува по-бързо. Средната продължителност на лечението е около 12 - 18 седмици.
Хирургичната реконструкция – резекция на костни израстъци (екзостозектомия) или стабилизиране на ходилото при ставни сублуксации (артродеза) - е оправдана при по-малко от 25% от случаите и обикновено цели да се:
- предотвратят улцерации (ако това е невъзможно чрез подходящи обувки или чрез глезенни ортези при остатъчни деформации),
- създаде стабилно и ремоделирано стъпало, на което може да се постави адекватна обувка и да се ходи.
Главното противопоказание за хирургична реконструкция е активното възпаление.
Усложнения
Усложненията на артропатията на Charcot са улцерациите, тежките инфекции, водещи до ампутация, тежки деформации, осификации на лигаментните структури, интра- и екстраартикуларни екзостози, остеомиелит.
- Рискови фактори:
- хемодиализа;
- тумор на гръбначния мозък;
- мъжки пол;
- наследствена невропатия на Dejerine - Sottas;
- наследствена невропатия на Charcot - Marie - Tooth;
- менингомиелоцеле;
- лепра;
- захарен диабет;
- дегенеративни увреждания на периферните нерви;
- дегенеративни увреждания на гръбначния мозък;
- атаксия на Fredrеich;
- амилоидоза;
- алкохолизъм
- Симптоми и синдроми:
- Инструментални изследвания:
Покана
Ако сте медицински, здравен или сроден специалист и бихте желали да допринесете за подобряване качеството на тази публикация – да предложите свой собствен авторски текст, фотография или видео, или просто да ни посочите грешка от едно или друго естество, която може да сме допуснали при подготовката на материала, заповядайте!