Речник
амилоидоза
на латински език: amyloidosis
на английски език: amyloidosis
свързани термини:
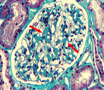
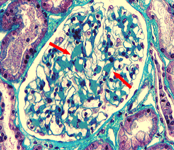
Това е рядко заболяване, което обикновено има фатален край; то се дължи на отлагането на патологичен белтък, наречен амилоид, в тъканите и органите на организма, който най-често се продуцира от клетките на костния мозък; постепенно протеинът води до увреждане функциите на органите, в които се натрупва; съществуват различни разновидности амилоид, които се отличават по някои оцветителни характеристики; съществуват три основни типа амилоидоза:
- първична- това е най-честата разновидност на заболяването, при което първично се засягат сърцето, бъбреците, езикът, нервите.; обикновено тази форма не е свързана с други заболявания с изключение на определен вид тумор на костния мозък, наречен мултиплен миелом; причините за възникването на първичната амилоидоза са неизвестни; специалистите смятат, че началото на болестта е в костния мозък, където клетките започват да произвеждат не само червени, бели кръвни телца и тромбоцити, но и антитела - вид белтъчни молекули, които при нормални условия предпазват организма от възникването на редица заболявания; след като антителата изпълнят функциите си в организма, те се подлагат на разграждане от специални структури на организма; амилоидоза настъпва тогава, когато костният мозък продуцира антитела, които впоследствие не могат да се разрушат; постепенно концентрацията на тези протеини в кръвта силно нараства и те започват да се депозират в различните тъкани и органи под формата на амилоид.
- вторична- този вид амилоидоза възниква най-често на базата на подлежащо хронично възпалително заболяване като туберкулоза, ревматоиден артрит, остеомиелит; тук могат да се засегнат всички тъкани и органи, но най-често страдат бъбреците, черният дроб, далакът и лимфните възли; в този случай лечението на първичното заболяване, довело до патологичното натрупване на амилоид в клетките на организма, може да предотврати по-нататъшната еволюция на амилоидозата.
- наследствена- вид амилоидоза, която се унаследява; засягат се обикновено нервите, сърцето и бъбреците.
