Речник

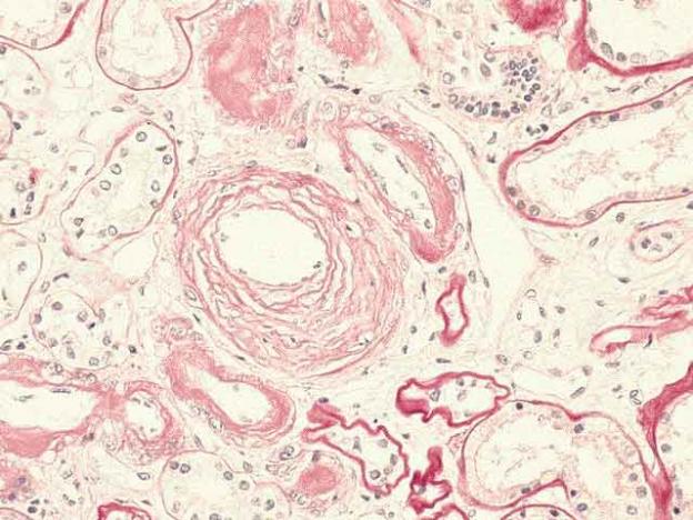
артериолосклероза

на латински език: arteriolosclerosis
на английски език: arteriolosclerosis

склеротично увреждане на артериолите; задебеляване и уплътняване стените на артериолите със загуба на еластичните им свойства и стесняване на съдовия лумен

Реклама
Реклама