Речник
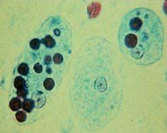
амебиаза
на латински език: amoebiasis
на английски език: amoebiasis, amoabic dysentery
протозойно заболяване, причинено от Entamoeba histolytica; най-честата клинична форма е острата амебна дизентерия; като усложнение може да възникне: амебен хепатит, чернодробен амебен абсцес, амебен абсцес в белия дроб, слезката, мозъка и др
